Summary This relates to situation where people have been injected with essentially extracts of human tissue
PARIS (AFP) - People injected with hormones extracted from cadaver brains in a long-abandoned procedure may have received "seeds" of Alzheimer s disease, said a study Wednesday, urging research into possible risks for "accidental" medical transmission.
Published in the journal Nature, the research claims to provide evidence for the hypothesis that the protein fragments which assemble into Alzheimer s-causing plaques, can be passed between humans via diseased tissue transfer.
But this did not mean that Alzheimer s was contagious, the study authors and independent commentators stressed.
"This relates to a very special situation where people have been injected with essentially extracts of human tissue," said co-author John Collinge of University College London (UCL).
"I don t think there needs to be any alarm that we re saying in any way that you can catch Alzheimer s Disease."
Further research, however, would be "prudent," he said during a telephone press briefing.
"We should think about whether there might be accidental routes in which these diseases might be transmitted by medical or surgical procedures."
While conducting research into an unrelated disease, Collinge and a team examined the brains of eight people who had received injections in childhood of a hormone to treat dwarfism.
The hormone had been extracted from pituitary glands harvested from thousands of human cadavers.
This practice was halted in 1985 when doctors realised it could transmit a variant of Creutzfeldt-Jakob disease (CJD) -- the human version of "mad cow" disease. Eight subjects in the study in fact died from this ailment.
- Too young -
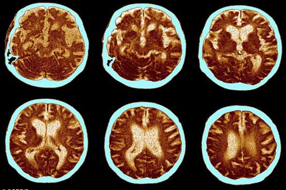
Collinge and colleagues, "very much to our surprise," found that seven of the eight had brain deposits of Alzheimer s-linked amyloid beta (Abeta) fragments -- with four of them having high concentrations.
Strikingly the patients were 36-51 years old, whereas such deposits are normally seen in elderly people.
"We think the most likely explanation is that the growth hormone preparations with which these people were treated as children, in addition to being contaminated with CJD prions (a different protein type), was probably also contaminated with Abeta seeds."
Previous laboratory studies showed that Abeta in Alzheimer s-ridden brain tissue, when transferred to mice or monkeys, could infect the host animal brain -- even when it had been injected into their abdomens.
"So there are mechanisms to transport these protein seeds to the brain," said Collinge.
"We don t know what they are, but clearly it can happen. So that s consistent with these seeds spreading from an intramuscular injection in the children to their brains."
Amyloid beta seeds, the team wrote, "are known, like prions, to adhere to metal surfaces and to resist... conventional hospital sterilisation."
Experts who were not part of the study underlined there was no evidence of any modern-day medical treatment, including dental surgery or blood transfusions, raising the Alzheimer s risk.
- Cautious, not concerned -
For the time being, "this paper should make us cautious but not overly concerned," said Simon Lovestone of the University of Oxford.
John Hardy, of UCL, added it seemed "relatively sure" that Abeta can be transferred by injection.
"Does it have implications for... blood transfusions: probably not, but this definitely deserves systematic epidemiological investigation," he said via the Science Media Centre (SMC) in London.
"Does it suggest Alzheimer s disease is infectious through contact? Almost certainly not."
The study authors said the eight fatalities in the study did not have the full-blown features of Alzheimer s -- they were missing the "tangles" caused by a different protein called Tau.
It was impossible to know whether they would have gone on to develop the disease.
"I wouldn t want to cause alarm on this. I don t think anyone should delay or reconsider having surgery on the basis of these data at all," said Collinge.
"We ve got no evidence that this is a risk to humans, but I think it would be prudent to do some research in this area going forward."
Some 30,000 people, mostly children with growth deficiency, received the hormone injections, of whom over 200 developed CJD.
The disease has a very long incubation period, and new diagnoses continue to be made.
