Summary Another person has died in Karachi of the disease; it is third death of Naegleria in last one month
KARACHI: (Dunya News) – One more person has died of Naegleria in Karachi on Friday. It is the third death of the disease in last one month, reported Dunya News.
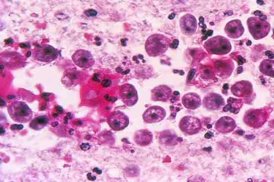
Germ living in water Naegleria is causing deaths in Karachi this year as well as Thattha resident Sarfraz Nawaz, aged 40, who was under treatment at a private hospital in Karachi, died today.
Sindh Health Department has written to Water Board directing it to ensure certain amount of chlorine in the water being provided to the citizens. Pakistan Medical Association has also stressed sufficient measures before concerned departments for saving the people from Naegleria.
Medical experts say that Naegleria virus can only cause death if water enters the nose and therefore, the residents should make sure that the water doesn’t enter the brain through nose.
